Марина Олексіївна Целіщева
Авторка матеріалів
Лікар - офтальмолог
Член ASOEP (асоціація фахівців з офтальмопластики та очного протезування).
Ксантелазма - доброякісне, плоске утворення мʼякої консистенції, що виникає на шкірі верхніх та нижніх повік ближче до медіального краю та складається з ліпідних відкладень.
Етіологія
Ксантелязми виникають у пацієнтів із порушенням ліпідного обміну, а саме із гіперліпідемією та гіперхолестеринемією, та у пацієнтів, які мають в анамнезі цукровий діабет, гіпотиреоз, цироз печінки.
Патогенез
Порушення ліпідного обміну → підвищення рівня ліпідів у крові → проникнення ліпідів у тканини → накопичення ліпідонасичених макрофагів → формування ксантелазм на шкірі повік.
підвищений рівень холестерину та ліпідів крові
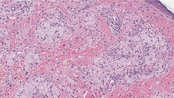
Гістологія
Ксантелазма складається з великої кількості гістіоцитів1, наповнених ліпідами. Ці клітини часто називають “пінистими гістіоцитами”2,оскільки їх внутрішній вигляд нагадує заповнення прозорою піною.
“Пінисті гістіоцити” в ксантелазмі значно більші за звичайні гістіоцити через накопичення ліпідів.
Гістологічний препарат ксантелязми під мікроскопом
візуальний огляд: спостерігаємо наявність плоских жовтуватих утворень на шкірі верхньої та/або нижньої повіки
пальпація: утворення безболісне, пальпується як м'яке, еластичне або трохи ущільне, немає шорсткостей та/або виразок, не повʼязане з глибокими шарами тканин та вільно зміщується разом із шкірою
скарги пацієнта: на наявність безболісних утворень на повіці, що порушують естетичну складову та поступово збільшуються в розмірах
лабораторна діагностика:
- загальний аналіз крові,
- кров на RW,
- цукор крові,
- кров на Hbs-антиген, - час згортання крові,
- загальний аналіз сечі,
- біохімічний аналіз крові (визначити вміст холестерину та фракцій ліпідів)
рекомендовано: консультація ендокринолога при виявленні метаболічних порушень
Фото пацієнта з ксантелазмами, джерело зображення https://eyewiki.org/File:Xanthelasma.png
Хірургічне видалення є основним методом, який дозволяє ефективно видаляти ксантелазми будь-якого розміру, з подальшою пластикою шкіри.
Лазерна хірургія — метод, який використовується для видалення ксантелазм розміром до 4-5 мм, забезпечуючи точне видалення з мінімальним пошкодженням оточуючих тканин.
Електрокоагуляція — застосування екстремальної теплової хірургії за допомогою електричної голки, ефективно видаляє невеликі ксантелазми (до 4-5 мм).
Кріодеструкція (кріотерапія) — використання екстремального холоду для видалення ксантелазм, що дозволяє лікувати утворення розміром до 4-5 мм.
Прогноз є позитивним, проте відомі випадки післяопераційних шрамів, зміна кольору шкіри в місці, де здійснювалось оперативне втручання та випадки повернення ксантелазм.
1. Гістоцити - це клітини імунної системи із групи мононуклеарних фагоцитів, які відіграють важливу роль у захисті від інфекцій, відновленні тканин і зазвичай завжди присутні в місцях хронічного запалення.
2. Пінисті гістоцити - це тип імунних клітин, які містять велику кількість ліпідів, що надає їм пінистого вигляду під мікроскопом.
- Міністерство охорони здоров'я України. Наказ №117 від 15 березня 2007 року "Про затвердження протоколів надання медичної допомоги за спеціальністю 'Офтальмологія'".
- Ndikumana, R. "Xanthelasma." My Pathology Report, 22 березня 2023. https://www.mypathologyreport.ca/diagnosis-library/xanthelasma/
- Porter, D. "¿Qué es el xantelasma?" Ред. Silkiss, R.Z. MD, FACS. American Academy of Ophthalmology, 11 вересня 2023. https://www.aao.org/salud-ocular/enfermedades/qu%C3%A9-es-el-xantelasma