Методи дослідження сітківки: від найпростішого до складного
Сітківка - це внутрішній світлочутливий шар ока, що вистилає його задню частину та відповідає за перетворення світлових сигналів на нервові імпульси, які передаються в головний мозок через зоровий нерв.

Методи дослідження сітківки: від найпростішого до складного
Авторка матеріалу
Сітківка - це внутрішній світлочутливий шар ока, що вистилає його задню частину та відповідає за перетворення світлових сигналів на нервові імпульси, які передаються в головний мозок через зоровий нерв.

Захворювання сітківки, такі як макулярна дегенерація, діабетична ретинопатія, оклюзії судин чи відшарування, можуть призводити до значного зниження зору або навіть до його повної втрати, саме тому рання діагностика та моніторинг стану сітківки мають вирішальне значення для збереження зорових функцій.
Методи дослідження сітківки:
Оптична когерентна томографія (ОКТ), оптична когерентна томографія-ангіографія (ОКТ-А), фундус-фотографія, аутофлюоресценція (АФ), флюоресцентна ангіографія (ФА), В-сканування, електроретинографія (ЕРГ)
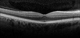
1. Оптична когерентна томографія (ОКТ)
Cучасний неінвазивний оптичний метод візуалізації, що використовується для отримання високороздільних шарових зображень сітківки ока.
Принцип роботи: прилад вимірює час затримки та інтенсивність відбитого світла, що дозволяє створити детальні тривимірні зображення шарів сітківки. Завдяки цьому можна оцінити їхню структуру, товщину, а також виявити патологічні зміни, такі як набряки, розриви чи відшарування.

Переваги застосування оптичної когерентної томографії (ОКТ):
Процедура проводиться швидко (до 2 хвилин), безконтактно та безболісно.
Метод дозволяє отримувати детальні тривимірні зображення сітківки та її шарів .
Ефективно діагностує захворювання на ранніх стадіях.
Використовується для діагностики широкого спектра захворювань (макулярна дегенерація, глаукома, діабетична ретинопатія тощо).
Немає впливу іонізуючого випромінювання або необхідності введення контрасту (крім флюоресцентної ангіографії за потреби).
Чітко візуалізує макулу, зоровий нерв та хоріоїдею.


2. Оптична когерентна томографія-ангіографія (ОКТ-А)
Це сучасний неінвазивний метод візуалізації кровоносних судин ока, який базується на принципі оптичної когерентної томографії. ОКТ-А дозволяє отримувати детальні зображення судинної мережі сітківки та хоріоїдеї без використання контрастних речовин.
Принцип роботи: метод аналізує зміни сигналу, спричинені рухом еритроцитів у кровоносних судинах, створюючи тривимірні карти мікроциркуляції завдяки чому, є ефективним для діагностики і моніторингу судинних захворювань ока, таких як діабетична ретинопатія, вікова макулярна дегенерація (визначається наявність або відсутність неоваскулярної мембрани, оклюзії судин та новоутворення).


Переваги застосування оптичної когерентної томографії- ангіографії (ОКТ-А):
Не потребує введення контрастних речовин, що знижує ризик алергічних реакцій чи побічних ефектів.
Дослідження займає кілька хвилин, проходить без дискомфорту та больових відчуттів для пацієнта.
Дозволяє отримувати чітку візуалізацію мікроциркуляції сітківки та хоріоїдеї.
Виявляє судинні порушення, такі як неоваскуляризація, ішемія, капілярні оклюзії, до появи клінічних симптомів.
Дає можливість окремо аналізувати кровоносні судини у різних шарах сітківки та хоріоїдеї.
В переважній більшості випадках може замінити інвазивні методи, такі як флюоресцентна або індоціанід-зелена ангіографія.
| Параметр | Оптична когерентна томографія (ОКТ) | Оптична когерентна томографія-ангіографія (ОКТ-А) |
| Об'єкт дослідження | Структурні зміни сітківки та зорового нерва | Мікроциркуляція та судинна мережа сітківки та хоріоїдеї |
| Принцип роботи | Аналіз відбитого світла для створення структурного зображення | Аналіз змін сигналу, спричинених рухом крові |
| Контрастні речовини | Не застосовуються | Не застосовуються |
| Тип даних | Тривимірне зображення структури тканин сітківки
| Тривимірна карта кровоносних судин
|
| Показання | Скринінг після 40 років, підозра на набряк, розриви, відшарування сітківки, глаукому, діабетичну ретинопатію | Ішемія, неоваскуляризація, капілярні оклюзії, судинні аномалії |
| Шарова деталізація | Аналіз шарів сітківки | Окрема візуалізація судин у різних шарах |
| Рівень деталізації | Високий | Надзвичайно високий |
| Основна перевага | Діагностика структурних змін | Оцінка кровообігу без застосування інвазивних методів дослідження |
3. Фундус-фото
Це неінвазивний метод візуалізації очного дна, який забезпечує отримання кольорових зображень сітківки, макули, диска зорового нерва та судин для діагностики, моніторингу та документування змін на очному дні.
Принцип роботи базується на комбінуванні освітлювальної та оптичної систем для створення деталізованих фотографій заднього сегмента ока.

Переваги застосування фундус-камери:
Метод неінвазивним, безпечним і комфортним для пацієнта.
Забезпечує чіткі, деталізовані зображення сітківки, макули, судинної системи та диска зорового нерва.
Отримані знімки зберігаються і можуть використовуватися для моніторингу змін у динаміці, що є цінним для контролю хронічних захворювань.
Фундус-фотографія ідеально підходить для масових скринінгових програм, особливо у групах ризику (пацієнти старше 40 років, пацієнти з діабетом, гіпертонією, глаукомою).
На відміну від флюоресцентної ангіографії, стандартна фундус-фотографія не потребує введення контрасту, що виключає ризик алергічних реакцій.

4. Аутофлюоресценція
Це явище природної флюоресценції, при якому певні молекули (наприклад, ліпофусцин) або тканини сітківки випромінюють світло після поглинання світла з довжиною хвилі, що відповідає їх абсорбційним характеристикам, без використання зовнішнього контрастного барвника. Аутофлюоресценція дозволяє виявити порушення в метаболізмі клітин, накопичення пігментів, а також патологічні зміни в структурі сітківки, що характерно для таких захворювань, як вікова макулярна дегенерація, діабетична ретинопатія та дегенеративні захворювання сітківки.

Переваги застосування аутофлюоресценції:
Дозволяє точно виявляти зміни в пігментному епітелії сітківки, такі як накопичення ліпофусцину або інші метаболічні порушення.
Не потребує введення контрастних речовин, що робить його безпечним для пацієнтів, зокрема для тих, хто має алергії або інші протипоказання до введення контрастних речовин.
Є швидким, безконтактним та зручним методом, що не потребує спеціальної підготовки пацієнта і дозволяє проводити регулярні скринінгові обстеження.
Перелік деяких патології, що ефективно діагностуються за допомогою аутофлюоресценції: вікова макулярна дегенерація (ВМД), пігментний ретиніт, центральна серозна хоріоретинопатія, дистрофія Беста, паттерн-дистрофія.

5. Флюоресцентна ангіографія (ФА)
Це діагностичний метод, що дозволяє візуалізувати кровоносні судини сітківки та хоріоїдеї, виявляючи аномалії в їхньому стані (наприклад, тромби, витікання рідини або неоваскуляризацію). Для проведення цього тесту вводиться спеціальний контрастний барвник (флюоресцеїн), який за допомогою світла відображає кровоносні судини на зображенні.
Принцип роботи: внутрішньовенно вводиться контрастна речовина - флюоресцеїн, що швидко потрапляє в кровоносну систему ока. За допомогою камери приладу, яка випромінює світло та одночасно фіксує його відбиття, знімається серія зображень, що показують кровообіг у сітківці та хоріоїдеї.
Флюоресцентна ангіографія (ФА) може супроводжуватися певним переліком ускладнень, про які необхідно попередити пацієнта:
Найпоширеніші реакції: тимчасова нудота (спостерігається у 3-15% пацієнтів), блювання (7%), свербіж.
Рідкісні реакції: кропив'янка, лихоманка, тромбофлебіт, непритомність (синкопе), анафілаксія, зупинка серця, бронхоспазм, летальні випадки оцінюються як 1 на 221,781.
Місцеві реакції: некроз тканин у разі екстравазації барвника (рідко), легкий біль і почервоніння є типовими.
Серйозних побічних ефектів у вагітних не було зафіксовано, однак вагітність вважається протипоказанням.
Більшість ускладнень можна попередити та, за необхідності, профілактувати.

Застосування флюоресцентної ангіографії (ФА) є особливо важливим у випадках, коли необхідно виявити судинні порушення, такі як діабетична ретинопатія, вікова макулярна дегенерація, оклюзії судин сітківки чи хоріоїдальні неоваскулярні мембрани.
Перевагою ФА є можливість виявлення витоків із судин, мікроаневризм, зон ішемії або гіпоперфузії, що забезпечує точну діагностику та контроль ефективності лікування.
Цей метод доцільно застосовувати при підозрі на судинні захворювання ока, для моніторингу прогресування патологій та оцінки результатів терапевтичних втручань.
6. Б-сканування
Це ультразвукова методика, яка дозволяє отримувати двовимірне зображення внутрішніх структур ока, що допомагає діагностувати патології ока, зокрема, в умовах, коли не можна побачити задні частини ока наприклад через катаракту або крововилив у склистому тілі.
Принцип роботи: прилад використовує ультразвукові хвилі для створення зображень, де точка відображення ультразвукових хвиль від кожної тканини ока залежить від її щільності. В результаті на моніторі відображається зображення, яке демонструє різні структури ока, на приклад, сітківку, склисте тіла, хороіїд, зоровий нерв, новоутворення.
Застосування Б-сканування в діагностиці патологій сітківки для:
Виявлення наявності новоутворень всередині ока.
Оцінки стану сітківки при відшаруванні.
Діагностики крововиливів у склоподібному тілі.
Цей метод дослідження є ефективним для отримання зображень внутрішніх структур ока при неможливості інших видів візуалізації.
7. Електроретинографія (ЕРГ)
Це обʼєктивний метод дослідження функції сітківки ока шляхом вимірювання електричних відповідей, що виникають при стимуляції сітківки світлом. Цей метод дозволяє оцінити здоров'я фоточутливих клітин сітківки (фоторецепторів) та її функціональність вцілому.
Принцип роботи: для проведення ЕРГ на поверхню рогівки ока пацієнта накладається електрод, який реєструє електричну активність сітківки після її стимуляції світловими імпульсами. Реєстрація сигналу дозволяє оцінити функцію різних клітин сітківки, зокрема, паличок і колбочок, а також функціональність інших структур, таких як біполярні й гангліозні клітини.
Застосування електроретинографії ефективне в діагностиці:
Спадкових захворювань сітківки: таких як пігментний ретиніт, хвороба Штадгарта, вроджена нічна сліпота. За допомогою ЕРГ можна виявити порушення в електричних відповідях сітківки, що є важливим для підтвердження діагнозу.
Діабетичної ретинопатії: ЕРГ дозволяє оцінити ранні функціональні зміни сітківки в пацієнтів з діабетом до того, як вони стануть видимими на стандартних методах візуалізації, таких як фундус-фото або ОКТ.
Хвороб, що впливають на функцію фоторецепторів: наприклад, макулодистрофії, дегенерації жовтої плями.
Неврологічні порушення: у пацієнтів з неврологічними захворюваннями, такими як дегенеративні захворювання нервової системи або мігрень, порушення функції сітківки можуть бути важливими для діагностики основної патології.
Цей метод дослідження може бути корисним для визначення обʼєктивної функції зору, коли субʼєктивно це не вдається зробити (наприклад, пацієнти з аутизмом, деменцією або іншими когнітивними порушеннями, пацієнти, що агравують.
- Rodenstock Fundus Camera. Джерело Інформація про фундус-камеру Rodenstock: технічні характеристики, функціональні можливості та застосування в офтальмології.
- Optical Coherence Tomography Angiography (OCT-A). Джерело
Пояснення принципу роботи, переваг та застосування ОКТ-ангіографії в офтальмологічній практиці. - Paul Parker. Healthy Retina. Джерело Ілюстрація та опис анатомії здорової сітківки для освітніх і наукових цілей.
- Yannuzzi LA, Rohrer MA, Tindel LJ, et al. Fluorescein angiography complication survey. Ophthalmology. 1986;93:611-7.
- Halperin LS, Olk J, Soubrane G, Coscas G. Safety of fluorescein angiography during pregnancy. Am J Ophthalmol.1990;109:563-6.
- Greenberg F, Lewis RA. Safety of fluorescein angiography during pregnancy [letter]. Am J Ophthalmol. 1990;110:323-5.
- EyeWiki. FA Figure 3B: Late arteriovenous phase angiogram. Available at: https://eyewiki.org/File:FAfig3b.jpg.
- InMed UA. Fundus автофлуоресценція: ще більше про здоров’я пігментного епітелію. Available at: https://inmedua.com/blog/fundus-avtofluorescencya-shhe-blshe-pro-zdorovya-pgmentnogo-eptelyu/.
- Wikipedia. Fundus photography: Fundus photograph of normal left eye. Available at: https://en.wikipedia.org/wiki/Fundus_photography#/media/File:Fundus_photograph_of_normal_left_eye.jpg.
- Krak Optic. Fundus камера Rodenstock. Available at: https://www.krak-optic.pl/produkty/fundus-kamera-rodenstock-2/.
- Contoura Vision India. What is retina in the eye? Available at: https://www.contouravisionindia.com/blog/what-is-retina-in-the-ey.
- Roland Consult. "Animal Research: Retianimal." Available at: https://www.roland-consult.de/animal-research/retianimal.html#!bild26_600
- Retina Associates of Greater Philadelphia. "Bright Scan Ultrasound (B-scan)." Available at: https://www.retinaassociatesofgreaterphiladelphia.com/treatments/diagnostic-testing/bright-scan-ultrasound-b-scan/
- Eyewiki. "Fig 1 ffERG." Available at: https://eyewiki.org/File:Fig_1_ffERG.jpg
- Retina Associates of Greater Philadelphia. "Bright Scan Ultrasound (B-scan)." Available at: https://www.retinaassociatesofgreaterphiladelphia.com/treatments/diagnostic-testing/bright-scan-ultrasound-b-scan/
- MedTrue. "CE & ISO Approved Medical Ophthalmic Ultrasound - Ultrasonic A/B Scan for Ophthalmology (MT03081002)." Available at: https://www.medtrue.com/CE-ISO-Approved-Medical-Ophthalmic-Ultrasound-Ultrasonic-a-B-Scan-for-Ophthalmology-MT03081002-pd41870102.html










