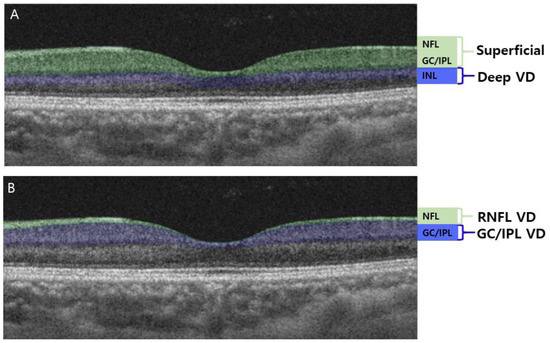
Оптична когерентна томографія (ОКТ): Внутрішній плексиформний шар
Внутрішній плексиформний шар (IPL – inner plexiform layer) - це один із шарів сітківки ока, розташований між внутрішнім ядерним шаром та шаром гангліозних клітин.
Зацікавилися?
Цей матеріал призначений для працівників медичної сфери. Авторизуйтеся, будь ласка, щоб вивчати далі. Цей розділ сайту містить професійну спеціалізовану інформацію про лікарські засоби, а також іншу професійну спеціалізовану медичну інформацію, яка призначена виключно для лікарів та медичних установ. У разі, якщо Ви не є лікарем чи працівником медичної установи, АТ «Фармак» не несе відповідальності за можливі негативні наслідки, що можуть виникнути в результаті самостійного використання інформації з цього розділу сайту. Ви робите це самостійно і усвідомлено, розуміючи, що застосування лікарських засобів можливе тільки за призначенням лікаря та після попередньої консультації з ним, а самолікування може завдати шкоди Вашому здоров’ю.
Авторизуйтесь, будь ласка, щоб отримати доступ до професійної інформації. Цим ви підтверджуєте, що є лікарем/працівником медичної установи.


















