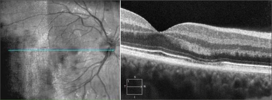
Оптична когерентна томографія (ОКТ): Зовнішній ядерний шар
Зовнішній ядерний шар (ONL – outer nuclear layer) - критично важливий компонент сітківки ока, що складається з тіл фоторецепторних клітин.
Зацікавилися?
Цей матеріал призначений для працівників медичної сфери. Авторизуйтеся, будь ласка, щоб вивчати далі. Цей розділ сайту містить професійну спеціалізовану інформацію про лікарські засоби, а також іншу професійну спеціалізовану медичну інформацію, яка призначена виключно для лікарів та медичних установ. У разі, якщо Ви не є лікарем чи працівником медичної установи, АТ «Фармак» не несе відповідальності за можливі негативні наслідки, що можуть виникнути в результаті самостійного використання інформації з цього розділу сайту. Ви робите це самостійно і усвідомлено, розуміючи, що застосування лікарських засобів можливе тільки за призначенням лікаря та після попередньої консультації з ним, а самолікування може завдати шкоди Вашому здоров’ю.
Авторизуйтесь, будь ласка, щоб отримати доступ до професійної інформації. Цим ви підтверджуєте, що є лікарем/працівником медичної установи.













